Un nuevo análisis sugiere que podrían existir terapias más precisas -con duración de cuatro meses- para tratar la TB, que mata cada año a millones de personas en el mundo.
La TB ha sido tratada con antibióticos desde el descubrimiento de la estreptomicina en 1943. En los años setenta y ochenta se desarrollaron otros tratamientos con rifampicina, pero también hubo una resistencia a ese antibiótico.
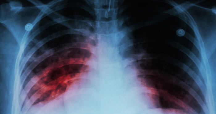
Londres, 5 de noviembre (EFE).- Casi la mitad de los casi diez millones de pacientes con tuberculosis activa (TB) diagnosticados cada año podrían curarse con tratamientos más cortos que los actualmente recomendados, según un estudio publicado hoy en Nature Medicine.
Un nuevo análisis de la Universidad de California en San Francisco (UCSF) sugiere que terapias más precisas podrían ser más efectivas a la hora de tratar la TB (una infección bacteriana), que mata cada año a unas 1,3 millones de personas en todo el mundo.
En el estudio -encabezado por Marjorie Imperial, una estudiante licenciada en Ciencias Farmacéuticas de la UCSF-, se analizaron otra vez los datos obtenidos en tres importantes pruebas que fracasaron en demostrar la eficacia de los tratamientos de cuatro meses de duración para tratar esta infección que ataca los pulmones.
Los científicos del UCSE subrayaron que la razón del fracaso de esas anteriores pruebas radica en que todos los pacientes fueron tratados de la misma manera, sin tener en cuenta la gravedad de TB.
En el nuevo estudio, añade la investigación, cuando esos pacientes fueron estratificados de manera retrospectiva en tres categorías del estado del mal: mínimo, moderado y grave, el tratamiento de cuatro meses con fármacos fue altamente efectivo para el 47 por ciento de los pacientes con la enfermedad en estado mínimo.
Sin embargo, los cuatro meses no fueron efectivos para los pacientes que presentaban TB en estado moderado o grave.
"Nuestro estudio muestra que un enfoque de medicina estratificada puede ser aplicado de manera factible para conseguir un tratamiento más corto para muchos pacientes con TB", señaló Payam Nahid, de la Escuela de Medicina de la citada universidad de Estados Unidos.

"Un enfoque de (tratamiento) único lleva a un bajo tratamiento de los pacientes con un estado grave de la enfermedad, o un tratamiento excesivo para pacientes con el mal menos avanzado, pues reciben fármacos que podrían causar daño", agregó Nahid.
La TB ha sido tratada con antibióticos desde el descubrimiento de estreptomicina en 1943, si bien la bacteria que causa la enfermedad desarrolló rápidamente su resistencia a ese antibiótico.
En los pasados años setenta y ochenta se desarrollaron otros tratamientos con rifampicina, pero también hubo una resistencia a ese antibiótico, recuerdan los científicos, que destacan el peligro de esta situación dado que TB mata actualmente a más personas en el mundo que cualquier otra enfermedad infecciosa.




