Algunos de los síntomas más frecuentes entre quienes enferman de COVID son los dolores musculares y en las articulaciones, aunque hay quienes los pueden padecer por mucho más tiempo, originando problemas más fuertes en los pacientes. Científicos de la Universidad de Northwestern opinan que, para evitar complicaciones, las imágenes (tomografía computarizada, resonancia magnética, ultrasonido) pueden ayudar a comprender mejor la sintomatología de los pacientes luego de recuperarse, así como encontrar el tratamiento adecuado para tratarlos.
Madrid, 21 de febrero (Europa Press).- El dolor muscular y las articulaciones doloridas son síntomas comunes entre los pacientes con COVID-19. Pero para algunas personas, los síntomas son más graves, duraderos e incluso extraños, como brotes de artritis reumatoide, miositis autoinmune o "dedos COVID". Un nuevo estudio de la Universidad de Northwestern, en Estados Unidos, ha confirmado e ilustrado por primera vez mediante imágenes radiológicas las causas de estos síntomas.
"Nos hemos dado cuenta de que el virus de la COVID puede provocar que el cuerpo se ataque a sí mismo de diferentes maneras, lo que puede provocar problemas reumatológicos que requieren un tratamiento de por vida", explica la autora correspondiente, la doctora Swati Deshmukh.
El estudio, que se publica en la revista Skeletal Radiology, es una revisión retrospectiva de datos de pacientes que acudieron al Northwestern Memorial Hospital entre mayo de 2020 y diciembre de 2020.
Musculoskeletal involvement of COVID-19.Ramani, S.L., Samet, J., Franz, C.K. et al. .: review of imaging. Skeletal Radiol (2021). https://t.co/bgAzDYnt5e pic.twitter.com/508R5pw9i4
— Salvador Pedraza (@salvasapedraza) February 21, 2021
"Muchos pacientes con trastornos musculoesqueléticos relacionados con COVID se recuperan, pero para algunos sus síntomas se vuelven graves, son profundamente preocupantes para el paciente o afectan su calidad de vida, lo que los lleva a buscar atención médica e imágenes", recuerda Deshmukh, profesora adjunta de radiología musculoesquelética de la Facultad de Medicina Feinberg de la Universidad Northwestern y radióloga musculoesquelética de dicha universidad.

"Esas imágenes nos permiten ver si los dolores musculares y articulares relacionados con la COVID, por ejemplo, no son sólo dolores corporales similares a los que vemos por la gripe, sino algo más insidioso", añade.
Las imágenes (tomografía computarizada, resonancia magnética, ultrasonido) pueden ayudar a explicar por qué alguien puede tener síntomas musculoesqueléticos prolongados después de la COVID, lo que le indica que busque al médico adecuado para recibir tratamiento, como un reumatólogo o un dermatólogo.
En algunos casos, los radiólogos incluso pueden sugerir un diagnóstico de COVID basado en imágenes musculoesqueléticas en pacientes que previamente no sabían que habían contraído el virus, apunta Deshmukh.
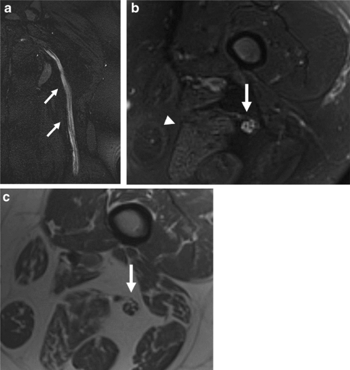
"Podríamos ver edema y cambios inflamatorios de los tejidos (líquido, hinchazón), hematomas (acumulaciones de sangre) o tejido desvitalizado (gangrena) --prosigue--. En algunos pacientes, los nervios están lesionados (brillantes, agrandados) y en otros, el problema es un flujo sanguíneo deficiente (coágulos)".
"Creo que es importante diferenciar entre lo que causa el virus directamente y lo que provoca que haga el cuerpo --resalta la doctora--. Es importante que los médicos sepan qué está sucediendo para poder tratar correctamente".

Por ejemplo, continúa, si un paciente tiene dolor persistente en el hombro que comenzó después de contraer COVID, su proveedor de atención primaria podría solicitar una resonancia magnética / ultrasonido. Si un radiólogo sabe que la COVID puede desencadenar artritis inflamatoria y las imágenes muestran inflamación de las articulaciones, entonces pueden enviar al paciente a un reumatólogo para su evaluación.

"Algunos médicos solicitan imágenes para pacientes con 'dedos de los pies COVID', por ejemplo, pero no había literatura sobre imágenes de las complicaciones del pie y los tejidos blandos de COVID --resalta--. ¿Cómo se encuentra algo si no está seguro de qué buscar? Por eso, en nuestro artículo, discutimos los diversos tipos de anomalías musculoesqueléticas que los radiólogos deben buscar y proporcionar ejemplos de imágenes".




