Se trata del estudio "Microangiopatía retiniana por COVID-19", publicado en la revista científica Journal Internal of Medicine, en el que se investiga esa situación después de que durante la pandemia los facultativos hayan visto que en muchos pacientes con COVID-19 se producen lesiones de vaso pequeño.
Pamplona (España), 10 de agosto (EFE).- Una investigación de la Clínica Universidad de Navarra (CUN) (norte de España) ha demostrado que el análisis del fondo de ojo puede prevenir la aparición de eventos arteriales que compliquen el pronóstico de pacientes positivos de COVID-19.
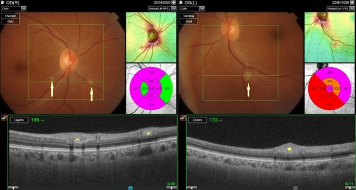
Se trata del estudio "Microangiopatía retiniana por COVID-19", publicado en la revista científica Journal Internal of Medicine, en el que se investiga esa situación después de que durante la pandemia los facultativos hayan visto que en muchos pacientes con COVID-19 se producen lesiones de vaso pequeño.
"En ese contexto, valoramos la posibilidad de realizar una visión directa de los vasos del cuerpo, que sólo se puede hacer a través del estudio del fondo del ojo. De esta forma, queríamos ver si podíamos identificar aquellos pacientes que tenían más riesgo de padecer un evento arterial", explica el especialista de la Unidad de Chequeos de la CUN Manuel Landecho, uno de los investigadores principales del estudio.
COVID-19 retinal microangiopathy as an in vivo biomarker of systemic vascular disease? https://t.co/y48GdNyJeI
— Brandon Lujan, MD (@OCTMD) July 31, 2020
En el estudio han participado 30 pacientes positivos con neumonía grave, de los que seis presentaron lesiones similares a las que se ve en el contexto de personas con factores de riesgo cardiovascular.
El director de Oftalmología de la Clínica e investigador principal junto al anterior, Alfredo García Layana, señala que realizaron un estudio del fondo de ojo "bastante completo", ya que es la única parte del cuerpo donde se pueden ver directamente los vasos y cómo inciden en ellos las afectaciones sistémicas.
"Con lo cual, podemos hacernos una idea de lo que está pasando en otras partes del cuerpo", dice. "En concreto, lo que nosotros detectamos es lo que se llama exudados algodonosos, es decir, pequeños microinfartos en la capa de fibras de la retina. Esto lo que puede sugerir es la aparición de lesiones arteriales en otras partes del cuerpo", añade .
Una de las complicaciones de la COVID-19 ha sido el desarrollo de estos eventos en personas que no eran de riesgo, personas que no tenían hipertensión arterial ni diabetes.
Una incertidumbre que resalta la importancia de encontrar un biomarcador, como el estudio del fondo de ojo, para predecir si el paciente es de riesgo y, así, poder tomar medidas preventivas.

"Los eventos arteriales podrían prevenirse con la inclusión de la aspirina en su tratamiento base, al igual que se hace con la heparina para los venosos. La investigación continúa en esta línea de añadir al proceso de diagnóstico el estudio del fondo del ojo con el objetivo de que en esos pacientes que se vean lesiones introducir dosis bajas de aspirina para prevenir la posibilidad de desarrollar consecuencias más graves", concluye Landecho.




